【営業時間】月水木|9:00~17:30 火金|9:30~13:00/14:30~18:30 土曜|9:00~17:00
【最終受付】月水木|17:00 火金|12:30/18:00 土曜|16:30 【休診日】日曜日・祝日
BLOG
スタッフブログ
こんにちは、受付の奥山です。
今回はホワイトニングについてお話しさせていただきます😌

外側の表面の白色が「エナメル質」と言われる部分です。
ホワイトニングはその下の象牙質に入り込んだ着色成分まで分解することができます✨
毎日の歯磨きだけだけでは落ちきれない深い着色や、歯そのものを本来より明るい色調にできるのがホワイトニングです。
どんな方法があるの?
◯ホームホワイトニング
ご自宅でできるホワイトニングです。
・歯型をとって専用のマウスピースの作製
・専用ジェルをマウスピースに適量塗布し、最長2時間装着して、その後水で軽く洗い流す(薬剤によって時間は異なる)
・低い濃度で繰り返し行うことで、ゆっくり内側から色素が抜けて透明感のある白さになる
・色が長持ちする
◯オフィスホワイトニング
歯科医院でおこなうホワイトニングです。
・歯科医師、歯科衛生士が施術する。
・短時間で表面の色素から抜けて、白さを実感しやすい
・大切な予定を控えている方におすすめ
◯デュアルホワイトニング
オフィスとホームを併用する方法です。
・しっかり白くしたい方
・白さをできるだけ長く保ちたい方におすすめ
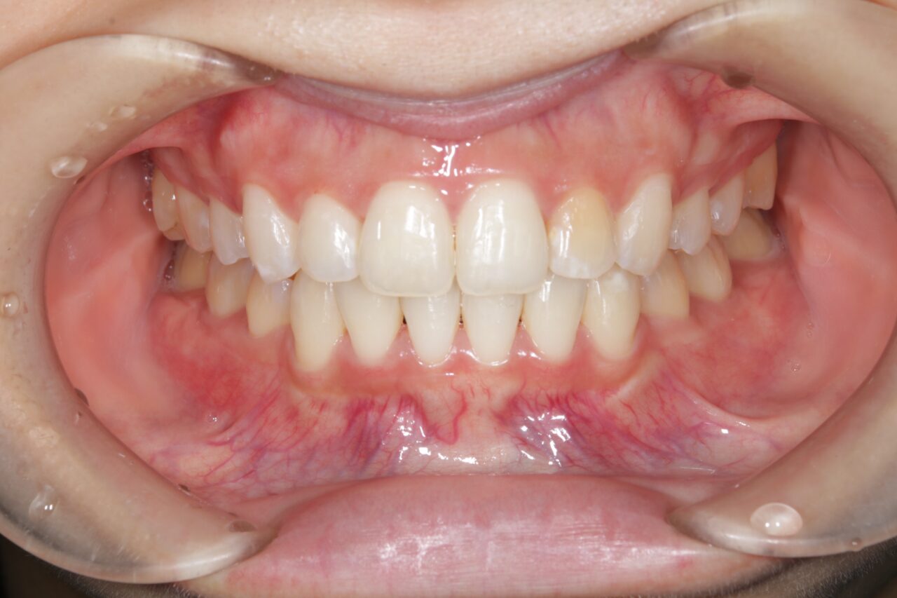
before after

料金表
ホームホワイトニング全顎 33,000円
片顎 16,500円
デュアルホワイトニング 44,000円
オフィスホワイトニング 22,000円
スタッフおすすめはデュアルホワイトニングです!
色持ちも良く、しっかり白くされたい方はぜひお試しください😄
ホワイトニング前には、虫歯治療を終えてしっかりクリーニングで歯石や歯の汚れを除去をしてから行ってくださいね
わからないことがあればお気軽にスタッフまでお声がけください!
PAGE TOP